Как известно, даже малейшие нарушения работы мозга могут проявляться в виде сильных психических расстройств. Если мозг поражен даже немного, то это может привести к нарушениям речи, памяти, сознания и восприятия. В теории, человек, утративший часть головного мозга, если и не погибает, то уж точно не способен вести нормальный образ жизни. И все же зафиксированы случаи, когда люди годами жили без части мозга и даже не замечали этого.

Обычно после такой травмы следует немедленная смерть. Но Гейдж через час после травмы пришел в себя, а затем сразу пошел к хирургу и по дороге спокойно и невозмутимо обсуждал с сопровождавшими дыру в своей голове. Он успешно вылечился и прожил еще 12 лет.
Гейдж умер в 1860 году в Сан-Франциско. Медики вскрыли его череп, и выяснилось, что не только левая лобная доля подверглась тяжелому повреждению, но травма распространялась и на правую лобную долю.
Как ни удивителен факт, что Гейдж выжил после такой травмы, но еще более удивительны оказались ее последствия, а вернее – их отсутствие. Каких-либо серьезных изменений психики у него не произошло – не нарушились память, речь и восприятие.
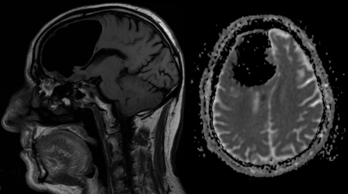
ГДЕ ВАШ МОЗЖЕЧЁК? В 2006 году в больницу города Цзинань обратилась молодая женщина с жалобами на сильное головокружение и тошноту. Результаты рентгена озадачили врачей. Оказалось, что у женщины нет мозжечка.Врачи обнаружили, что у пациентки место, где должен находиться мозжечок, заполнено спинномозговой жидкостью.
Пациентка рассказала, что с самого раннего детства ее постоянно мучили тошнота и головокружение. До четырех лет она плохо говорила, а ходить начала в семь лет, но плохо держала равновесие и не могла бегать. Она нигде не училась, вышла замуж и родила здоровую девочку. Четверо ее родных сестер и брат не имели никаких физиологических и психических отклонений.
Хотя мозжечок отвечает за координацию движений, удержание равновесия и речевые функции, у девушки не только не было никаких дефектов речи, но она жила обычной жизнью за исключением недомоганий, связанных с частыми головокружениями. Специалисты предполагают, что функции мозжечка у нее мог взять на себя головной мозг.
Читайте также: НЕОЖИДАННЫЕ РЕЗУЛЬТАТЫ: КАК ФУТБОЛ ВЛИЯЕТ НА МОЗГ ИГРОКОВ
ЧИНОВНИК БЕЗ МОЗГА. В июле 2007 года в медицинском научном журнале «Lancet» была опубликована небольшая статья «Мозг чиновника». В ней рассказывалось о поразительном случае гидроцефалии у одного 44-летнего французского государственного служащего. Однажды этот человек обратился в госпиталь Марселя с жалобами на слабость своей левой ноги, однако, когда ему сделали томографию мозга, то увидевшие снимки врачи были шокированы.
Оказалось, что желудочки мозга этого клерка были так расширены, что занимали практически всю полость черепа. Тем не менее, хотя почти три четверти головного мозга отсутствовали, этот человек жил вполне нормальной жизнью: работа, семья, дети.
Никаких особых проблем с психикой, как ни странно, он не испытывал. Хотя был несколько глуповат – его коэффициент интеллекта (ІQ) составлял всего 75 пунктов (при норме от 80 до 114). Если бы у него не возникли проблемы с ногой, то, возможно, никто бы и не узнал, что в его голове большую часть «жилой площади» занимает не мозг, а спинномозговая жидкость.

Неврологические тесты и анализы крови не выявили никаких характерных для этого заболевания нарушений. Однако компьютерная томография головы помогла найти причину недомогания мужчины – пузырь воздуха, занимающий значительную часть передней левой части черепа. При этом признаков нарушения мозгового кровообращения практически не было.
Детальное изучение передней части черепа пациента показало, что в его решетчатой кости, отделяющей носовую полость от полости черепа, развилось доброкачественное новообразование. Из-за этого воздух проникал в пространство рядом с мозгом, но не мог выйти из него обратно. Таким образом, каждый раз, когда мужчина чихал, кашлял или сморкался, пузырь воздуха, появившийся внутри его черепа, становился немного больше. Вероятно, этот процесс длился несколько месяцев или даже лет.
Проконсультировавшись с врачом и оценив возможные риски, пациент принял решение не устранять скопление воздуха рядом с головным мозгом и доброкачественное новообразование в решетчатой кости.
Мозг может быть поврежден ломом, но при этом пострадавший останется полноценным человеком, пускай и не всегда прежним. Мозг может практически исчезнуть, но человек останется самим собой. Возможно, что-то пока неуловимое витает в нейронах мозга, не позволяя локализовать наше сознание.
Читайте также: КАК НАЙТИ ИДЕАЛЬНЫХ ДРУЗЕЙ ПО МРТ







